TRAITEMENTS PRECOCES
Il est très facile de traiter des petits entre 4 ans et 6 ans pour régler de petits problèmes, alors pourquoi attendre que les problèmes se soient accentués vers 8 ans ou 10 ans ou 12 ans. Attendre que le potentiel de croissance soit moindre? Ce n’est pas logique et cela est même une perte de chance pour le devenir des dents de nos enfants.
Un cas de béance:
6 mois de traitement et une élocution nettement améliorée

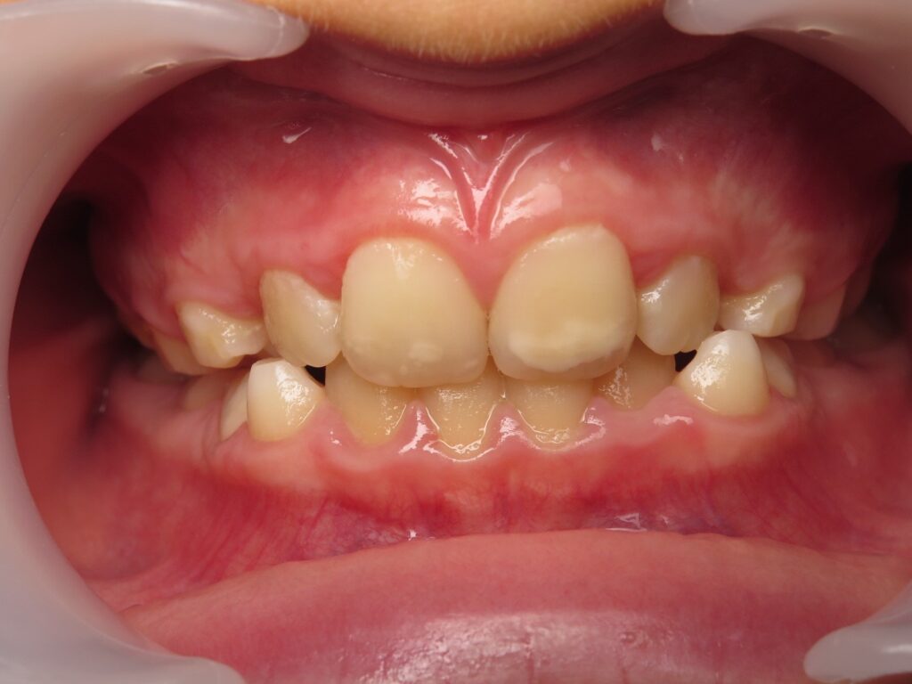
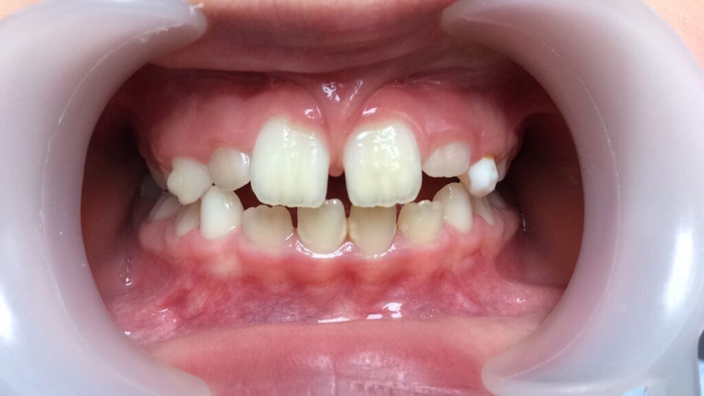
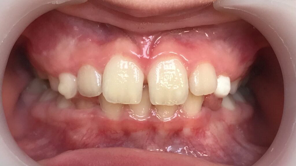
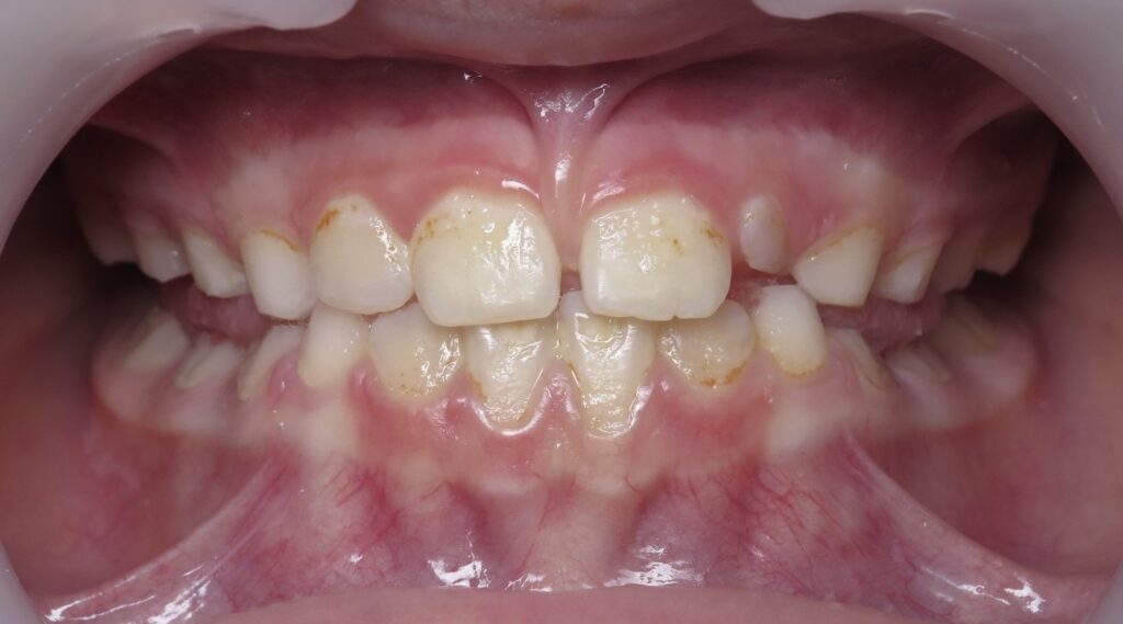
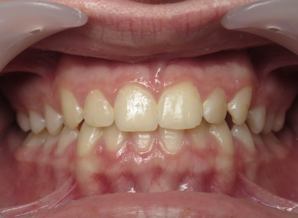
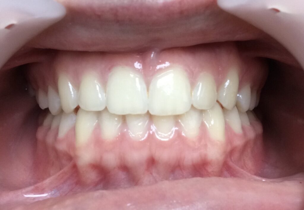
Un cas de recouvrement trop important avec bruxisme sévère:
La photo intermédiaire permet de voir que la situation en denture mixte était bien plus favorable qu’au départ. Quelle dentition aurait eu ce patient si on l’avait traité seulement à 12 ans ? et toutes les tensions dans son corps qui accompagnent ce genre de cas auraient surement perturbé sa croissance générale.

6 ans

9 ans

15 ans
Un cas d’inversion d’articulé latéral:
Un traitement précoce à 6 ans a permis cette petite fille de ne pas grandir avec un menton de travers.

6 ans

7 ans

10 ans
Un alignement et un ajustage occlusal sera nécessaire lorsque toutes les dents définitives seront présentes.
Un cas de prognathisme précoce:
Denture de lait en occlusion inversée antérieure, futur prognathe:

6 ans

8 ans

12 ans

16 ans
(revue longtemps après la fin du traitement)
Le traitement initial a été plus long pour ce cas (18 mois) en raison de la difficulté du cas.
Durée de ces traitements:
Pour chacun de ces cas, le traitement n’a pas été en continue sur les périodes, un traitement initial de 6 à 12 mois dans la plupart des cas. Puis en denture définitive, 2ème phase de traitement pour ajuster et aligner les dents. cette 2ème phase est beaucoup plus facile à réaliser et plus facile à accepter pour l’adolescent.
Je vous conseille de venir au cabinet pour avoir un avis pour vos petits assez tôt au plus tard vers 6 ans !