Traitements précoces
Il est très facile de traiter des petits entre 4 ans et 6 ans pour régler de petits problèmes, alors pourquoi attendre que les problèmes se soient accentués vers 8 ans ou 10 ans ou 12 ans. Attendre que le potentiel de croissance soit moindre ? Ce n’est pas logique et cela est même une perte de chance pour le devenir des dents de nos enfants.
Un cas de béance :
6 mois de traitement et une élocution nettement améliorée
Traitement débuté à 3,5 ans et terminé à 4 ans

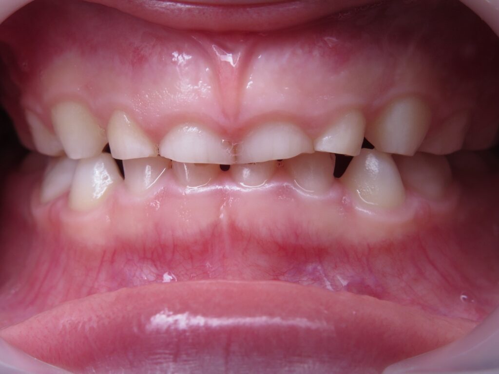
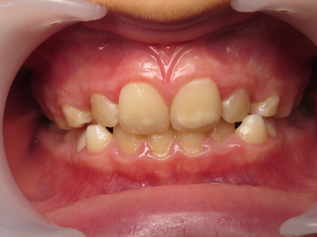
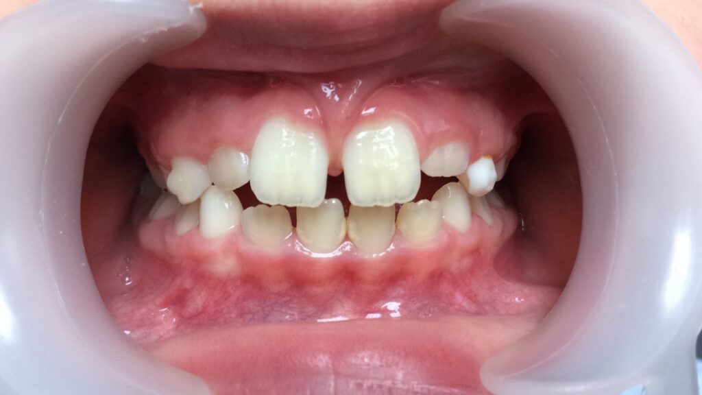
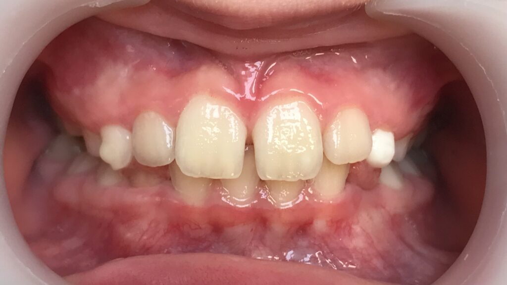
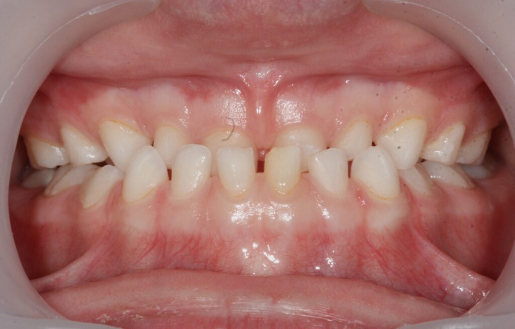
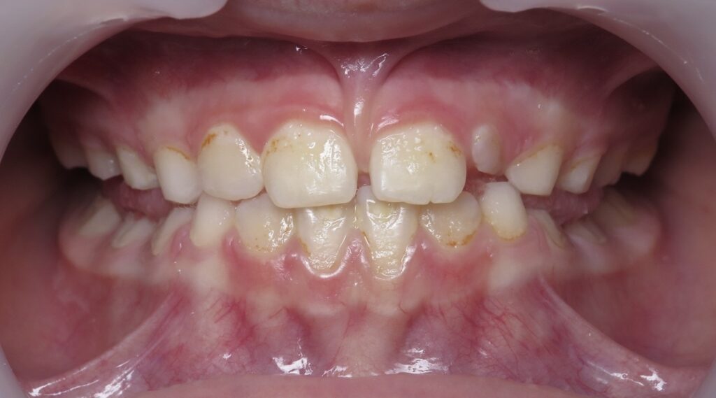
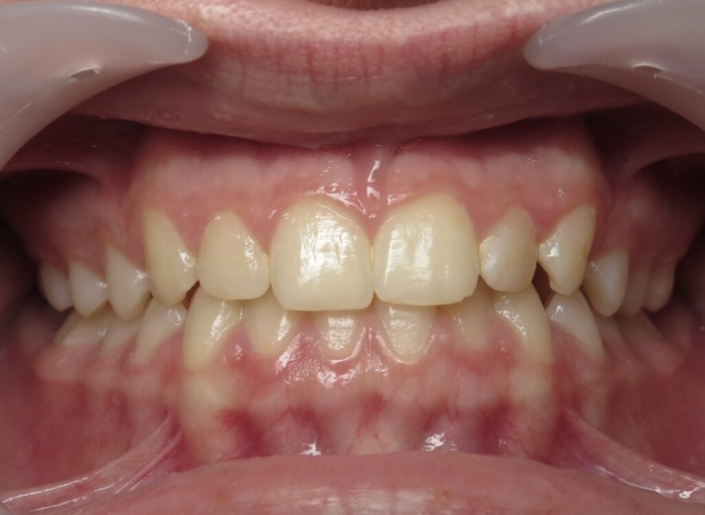
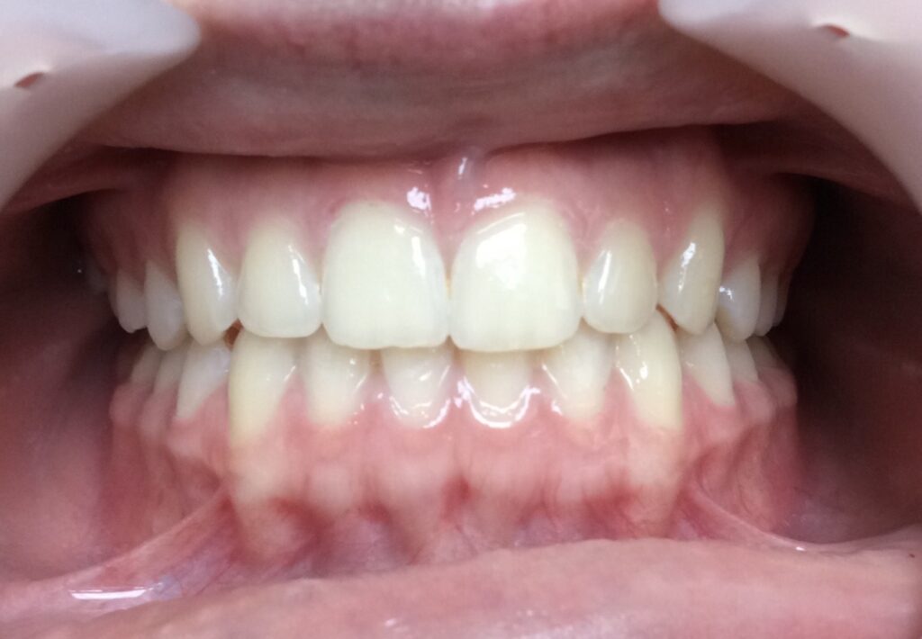
Un cas de recouvrement trop important avec bruxisme sévère :
La photo intermédiaire permet de voir que la situation en denture mixte était bien plus favorable qu’au départ. Quelle dentition aurait eu ce patient si on l’avait traité seulement à 12 ans ? et toutes les tensions dans son corps qui accompagnent ce genre de cas auraient surement perturbé sa croissance générale.
Photos à 6 ans, 9 ans et 15 ans



Un cas d’inversion d’articulé latéral:
Un traitement démarré à 6 ans, a permis à cette petite fille de ne pas grandir avec un menton de travers.
Photos à 6, 7 et 10 ans



Un alignement et un ajustage occlusal seront nécessaires lorsque toutes les dents définitives seront présentes.
Un cas de prognathisme précoce :
Denture de lait en occlusion inversée antérieure, futur prognathe :
Photos à 6, 8 et 12 ans, puis à 16 ans après plusieurs années de fin de traitement




* Le traitement initial a été plus long pour ce cas (18 mois) en raison de la difficulté du cas.
Durée de ces traitements :
Pour chacun de ces cas, le traitement n’a pas été en continu sur les périodes, un traitement initial de 6 à 12 mois dans la plupart des cas. Puis en denture définitive, 2ème phase de traitement pour ajuster et aligner les dents. Cette 2ème phase est beaucoup plus facile à réaliser et plus facile à accepter pour l’adolescent.
Je vous conseille de venir au cabinet pour avoir un avis pour vos petits assez tôt, au plus tard vers 6 ans !